致力于为全球不孕不育家庭提供专业化的试管婴儿医疗科普服务

试管在线知识星球

专业为试管婴儿而打造,连接一千位试管铁杆星友

200+

成员数量

1年+

运营天数

1700+

知识内容数量

100+

问答

知识星球

试管婴儿骆先生

邀请你加入知识星球,一起学习试管知识

作者:骆先生,爱生育网站主,试管婴儿十余年从业经验,为您试管婴儿的开展保驾护航。

咨询微信: 13357280021
咨询电话: 13357280021
微信扫码加入知识星球

检查准备

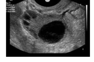
卵泡监测

卵泡监测有什么用 卵泡监测是针对女性不孕的一种检查方法,能够通过卵泡检查发现女性不孕的病因,在试管婴儿手术中,卵泡监测技术也被普遍运用,期作用如下: 1、根据卵泡监测报告分析女性是卵泡发育问题还是排卵障碍问题; 2、试管婴儿中卵泡监测的用处主要是为了观察卵泡发育情况,以确定是否促排成功,制定取卵时间…

2025-08-18 15
精液常规检查

液常规检查是什么 精液常规检查又叫精液常规,试管婴儿、男性备孕前必做项目,通常检查方法为一般检查和显微镜检查,一般检查主要从精液量、颜色、形态、液化时间来检查,而显微检查主要是从精子总数、精子密度、镜子活力、精子活率、白细胞等多方面检查; 精液常规检查费用多少 精液常规检查价格一般是在100元以下、…

2025-08-18 14
宫腔镜手术

宫腔镜手术的意义 宫腔镜手术是妇科常见的微创手术,其设备是一种带镜子的特殊手术工具,能有效地诊断和治疗宫内疾病,并能清晰地观察宫腔内的各种变化,做出明确的判断。 宫腔镜分为诊断型和手术型,软硬型。软诊断宫腔镜是由先进的光纤制成的。它直径小,可以随意弯曲。整个宫腔易于观察和诊断。检查过程很快(约2-5…

2025-08-18 13
宫腔环境检查

宫腔环境什么意思 宫腔环境是什么意思呢?其实通俗的讲也就是整个子宫的健康状态,一般在进行试管婴儿手术前或者备孕失败后会做一个宫腔环境检查,以此来了解子宫内膜的生长状态和特征,子宫内是否含有一些妇科炎症一类的问题。 通过宫腔环境检查可以提前知晓一些能够导致怀孕率降低的因素,如宫腔粘连、子宫内膜息肉、子…

2025-08-18 15
宫颈抹片

宫颈抹片是什么 宫颈抹片为常见的妇科检查项目之一,从其名字就可以看出此项检查重在检测女性的宫颈,通过此项检查可以侦测到女性子宫颈细胞微小的变化,为目前广泛检查子宫颈癌最简便有效的诊断方法。 宫颈抹片是一种从子宫颈部取少量的细胞样品放在玻璃片的抹片,从子宫颈部取少量的细胞样品,放在玻璃片上,然后在显微…

2025-08-18 16
宫颈刮片

宫颈刮片 宫颈刮片顾名思义就是对女性宫颈处的细胞放置于玻璃片上进行检查,以此来判断宫颈细胞的生理活动是否正常,从而确定患者是否已经患上了宫颈癌,目前宫颈刮片是检查宫颈癌最简单有效的方法。 宫颈刮片的检查内容 宫颈刮片是妇科检查中的一项内容,其主要作用是保证女性宫颈健康,随着医学手段的进步,宫颈刮片的…

2025-08-18 16
睾丸穿刺

什么是睾丸穿刺 睾丸穿刺指的是一种活性体检检测注射,有一些男性在做精液常规检查之后没有发现精子,这是就需要利用此项手术来确定患者的生精情况,它既可以作为诊断手术也可以作为治疗手段。 整个穿刺过程并不复杂,医生首先会对穿刺的皮肤消毒,然后使用局部麻醉的方式,利用穿刺针取出部分组织即可,对于梗阻性无精子…

2025-08-18 9
睾酮(T)

睾酮是什么 睾酮又指睾丸素,由男性睾丸和女性的卵巢分泌,主要存在于男性身上,少量存在于女性身上。睾酮具有提神,对抗骨质疏松症,维持肌肉强度、质量的作用。 总之不论男性还是女性,睾酮对于健康的影响是非常重要的,包括提神及提升体能、增强性欲、力量、免疫功能等功效。一般男性体内睾酮的份量是女性分泌量的20…

2025-08-18 10
肝功能检查

肝功能检查指标 在肝功能的检查中,主要是针对肝脏中的各种细胞的数量以及指标进行检测,对于肝脏而言,只要各项细胞的指标能够达标,那么肝脏就可以被视为没有问题。 一般来说,肝功能检查主要是检查肝脏的代谢功能,其检查内容主要涵盖了各种物质的代谢指标,包括肝脏的蛋白质代谢功能、胆红素和胆汁酸代谢功能、酶学指…

2025-08-18 13
甘胆酸(CG)偏高

什么是甘胆酸(CG) 甘胆酸是胆酸与甘氨酸结合而成的结合型胆酸之一,为妊娠晚期的女性血清中最主要的胆汁酸组分,一旦人体的肝细胞受损,肝细胞摄取甘胆酸的能力就会下降,从而致使血清中的甘胆酸含量增高。 甘胆酸由肝细胞合成,并经过毛细胆管、胆管排入胆囊,随同胆汁进入十二指肠,能帮助食物消化,其中95%胆酸…

2025-08-18 12
妇科常规检查

妇科常规检查项目 随着社会环境的改变,女性被妇科疾病缠身的现象也越来越多,比如各种阴道炎症、子宫肌瘤、宫颈炎、宫颈癌、卵巢肿瘤等等。很多妇科疾病在早期并没有异常变现,所以如果不做检查的话,这种情况下很容易将小病拖成大病。而妇科检查主要作用是让女性可以发现并远离疾病,所以定期妇科检查很重要。 检查项目…

2025-08-18 12
二维彩超

二维彩超多少钱做一次 单次二维彩超费用并不高,大概是在100元左右,不同地区、医院之间可能存在差异,建议以实际数据为准。虽然从单次缴费来看,二维检查并不贵,但孕期又何止是做一次这项检查,如果将这些检查次数累加在一起,那么不得有个一千好几。 一般来说,三甲以上的医院在二维彩超收费上面算比较便宜的,所以…

2025-08-18 26

试管婴儿圈子

提供最具性价比的试管婴儿包成功攻略指南

试管婴儿助孕群
高龄备孕试管群
绝经生育试管群
失独再生育群
试管星球社群
微信扫码加入

试管婴儿百科体系

排名
分类名称
文章数量
1
55篇
2
46篇
3
44篇
4
31篇
5
24篇
6
18篇
7
18篇
8
17篇
9
13篇
10
6篇

试管星友共同好孕

高品质知识社群

试管问题有问必答

微信扫码加入知识星球

微信知识星球社群让您全方面了解试管婴儿技术、流程、费用、成功率、注意事项、防骗等相关信息。

骆先生微信号:13357280021

试管在线知识星球

专业为试管婴儿而打造,连接一千位试管铁杆星友

200+

成员数量

1年+

运营天数

1700+

知识内容数量

100+

问答

知识星球

试管婴儿骆先生

邀请你加入知识星球,一起学习试管知识

作者:骆先生,爱生育网站主,试管婴儿十余年从业经验,为您试管婴儿的开展保驾护航。

咨询微信: 13357280021
咨询电话: 13357280021
微信扫码加入知识星球